Enfermedad periodontal (Encías Enfermedad)

La Enfermedad Periodontal es una Infección Bacteriana que afecta las encías y estructuras de soporte de tus dientes (hueso). Las bacterias presentes en la Placa Dentobacteriana (masilla blanda, pegajosa e incolora que constantemente se forma en tus dientes) son las causantes de las enfermedades periodontales. Si no se retira cuidadosamente la placa, todos los días con un cepillado adecuado e hilo dental la placa endurece y se convierte en una sustancia dura llamada Cálculo o Sarro.
Las Bacterias producen toxinas (sustancias) que irritan las encías. Las toxinas estimulan una respuesta inflamatoria que provoca que tejidos y hueso se destruyan.
Con el tiempo, la Placa Dentobacteriana puede extenderse hacia abajo de la encía (raíz). La encía se separa del diente formando bolsas periodontales (espacios entre el diente y la encía) y se infectan. Cuando la enfermedad progresa, las bolsas se profundizan provocando que se destruya más la encía y hueso de esta manera pueden llegar a perderse los dientes.

La Enfermedad Periodontal (encías) incluye la Gingivitis y Periodontitis. Son Desordenes Inflamatorios muy serios, que de no ser tratados, pueden llevar a la perdida dental.
La palabra Periodontal literalmente significa “alrededor del diente”.
TIPOS DE ENFERMEDADES DE LAS ENCÍAS:
GINGIVITIS:
La gingivitis es la forma más leve de la Enfermedad Periodontal, esto causa que las encías se inflamen y sangren fácilmente. La Gingivitis es frecuentemente causada por inadecuada higiene oral. La Gingivitis es reversible con Tratamiento Profesional y buen cuidado de higiene oral en casa.
PERIODONTITIS:
Una Gingivitis no tratada puede avanzar a Periodontitis. En esta fase ya hay Pérdida de Hueso. Las toxinas estimulan una respuesta inflamatoria crónica en el cual el cual el cuerpo en esencia responde con un daño hacia sí mismo, los tejidos y hueso que soportan los dientes son dañados y destruidos.
La periodontitis puede ser Crónica o Agresiva dependiendo del tiempo de evolución y el grado de destrucción de los tejidos.
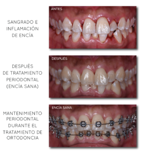
Observe que la encía desinflamó totalmente después del tratamiento. En este caso los espacios entre las piezas entre las piezas son secuelas que provocó la infección al perderse hueso, una vez que el paciente esté sano de sus encías (no antes) puede corregirse los espacios con tratamiento de ortodoncia.
CASO 1:
CASO 2:
CASO 3:
SÍNTOMAS:
La enfermedad periodontal frecuentemente es silenciosa, sin dolor, los signos pueden aparecer hasta una etapa avanzada de la enfermedad.
– Sangrado espontáneo, al cepillarse, al usar el hilo dental o comer comida dura.
– Enrojecimiento, inflamación o encías sensibles.
– Mal aliento continuo.
– Hay pérdida de encía, causando que los dientes se vean más largos que antes. Se observan las raíces dentales.
– Movilidad.
– Los dientes se separan provocando espacios entre los dientes.
– Pus entre la encía y el diente.
– Un cambio en la forma en que tus dientes contactan cuando tú muerdes.
– Cambios en el sellado de las dentaduras parciales.
TRATAMIENTO PERIODONTAL:
En un mismo paciente puede haber sitios con salud periodontal, gingivitis, y periodontitis en diferentes etapas, por tal razón el tratamiento es individualizado.
Su tratamiento puede incluir las siguientes fases:
-
-
- Control Personal de higiene. Adiestramiento del uso adecuado del cepillo e hilo dental.
- Detartraje (limpieza): Eliminación de Placa Bacteriana y Sarro de la superficie visible del diente (corona).
- Raspado y Alisado Radicular (limpieza profunda): Eliminación de placa, sarro y toxinas de la superficie radicular. En etapas avanzadas se requiere cirugía.
- En algunos casos es posible colocar injerto óseo donde se ha perdido, al igual que colocar injertos de encía si es necesario.
-
FASE DE MANTENIMIENTO PERIODONTAL:
Se realiza una vez concluida la fase activa del tratamiento. El objetivo es prevenir la recidiva de la enfermedad periodontal principalmente con la supervisión estricta del Periodoncista, por medio de citas con intervalos regulares (3-6 meses). En estas citas se le realizará una Revisión Periodontal y su limpieza de rutina para mantener sus encías sanas.
CONSECUENCIAS DE NO TRATARSE:
Si NO se diagnóstica y se lleva a cabo el tratamiento periodontal en etapas tempranas de la enfermedad periodontal, el diente se caerá o necesitará ser extraído.





