Factores de Riesgo de las Enfermedades Periodontales (Infección de Encías)
¿QUÉ ES LA ENFERMEDAD PERIODONTAL?
La Enfermedad Periodontal es una Infección Bacteriana que afecta las encías y estructuras de soporte de tus dientes (hueso). Las bacterias presentes en la Placa Dentobacteriana (masilla blanda, pegajosa e incolora que constantemente se forma en tus dientes) son las causantes de las enfermedades periodontales. Si no se retira cuidadosamente la placa, todos los días con un cepillado adecuado e hilo dental la placa endurece y se convierte en una sustancia dura llamada Cálculo o Sarro.
Las Bacterias producen toxinas (sustancias) que irritan las encías. Las toxinas estimulan una respuesta inflamatoria que provoca que tejidos y hueso se destruyan.
Con el tiempo, la Placa Dentobacteriana puede extenderse hacia abajo de la encía sobre la superficie de las raíces dentales. La encía se separa del diente formando bolsas periodontales, espacios entre el diente y la encía, y se infectan. Cuando la enfermedad progresa, las bolsas se profundizan.
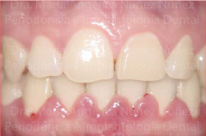
SIGNOS Y SEÑALES DE ALERTA:
-Sangrado espontáneo, al cepillarse o al usar el hilo dental.
-Encías inflamadas ( rojas).
– Mal aliento.
-Los dientes se ven más largos debido a la perdida de encía que expone las raíces.
-Pus entre la encía y el diente.
– Los dientes se separan o cambian de posición.
-Movilidad dental.
INFECCIÓN DE ENCÍAS:
Existen otros factores y condiciones sistémicas que aunque por si solos no provocan
las infecciones de las encías, ya que se requiere la presencia de placa dentobacteriana (bacterias), cuando están presentes actúan significativamente en el desarrollo y progreso de las enfermedades periodontales, así como en la respuesta al tratamiento.
FACTORES DE RIESGO DE LA ENFERMEDAD PERIODONTAL:
EDAD:
Estudios indican que las personas mayores tienen porcentajes más altos de Enfermedad Periodontal. Alrededor de un 70% de los adultos mayores de 65 años tienen Periodontitis.
FUMAR/USO DEL TABACO:
El uso del tabaco está ligado con muchas enfermedades serias como el cáncer, enfermedad del pulmón, enfermedades cardíacas y otros numerosos problemas. Los fumadores también están en un riesgo incrementado de presentar Enfermedad Periodontal. Estudios han demostrado que el uso del tabaco puede ser uno de los factores de riesgo más significativos en el desarrollo y progreso de la Enfermedad Periodontal. Los fumadores regularmente no presentan inflamación y sangrado, la infección es asintomática, pero el progreso de la infección y la pérdida de los dientes es más rápido.
GENÉTICA:
La investigación ha indicado que algunas personas pueden ser genéticamente susceptibles a la Enfermedad Periodontal. A pesar de los buenos hábitos de higiene oral, estos pacientes pueden tener mayor probabilidad a desarrollar Enfermedad Periodontal. Identificar a estos pacientes con un examen genético antes de que ellos muestren los signos de la enfermedad e integrarlos en un tratamiento preventivo puede ayudarlos a mantener sus dientes un periodo mas largo de vida.
ESTRÉS:
El stress puede hacer más difícil que el cuerpo combata la infección, incluyendo las infecciones de las encías.
OTRAS ENFERMEDADES SISTÉMICAS:
Otras enfermedades sistémicas que interfieren con el sistema inflamatorio del cuerpo pueden empeorar la condición de las encías. Estas incluyen la enfermedad cardiovascular, diabetes y artritis reumatoide.
La Enfermedad Periodontal está asociada con varias enfermedades. Por mucho tiempo se había pensado que las bacterias eran el factor que unía la Enfermedad Periodontal a otras enfermedades en el cuerpo, sin embargo, estudios científicos recientes demuestran que la Inflamación puede ser la responsable de la asociación. Por lo tanto, el tratamiento de la Inflamación de las Encías no solamente puede ayudar con el manejo de las Enfermedades de las Encías si no también puede hacerlo con otras condiciones crónicas inflamatorias.
DIABETES Y ENFERMEDAD PERIODONTAL:
Los diabéticos tienen más probabilidad a desarrollar Enfermedad Periodontal y los pacientes que tienen infección en sus encías pueden incrementar el azúcar en sangre y provocar complicaciones.
Los pacientes con diabetes tienen más probabilidad a desarrollar Infección Periodontal que los pacientes sin diabetes, porque los diabéticos son más susceptibles a desarrollar infecciones. De hecho, la Enfermedad Periodontal es considerada una complicación de la Diabetes. Los diabéticos no controlados están especialmente en riesgo.
Si usted presenta algún signo de Enfermedad Periodontal, algún factor de riesgo o condiciones sistémicas antes mencionadas deben acudir al Periodoncista, para prevenir y tratarse en una etapa temprana la infección de encías, y evitar que pierda sus dientes. En el caso de los diabéticos, al eliminar la infección de las encías también ayudaremos a que los niveles de azúcar en sangre bajen y se mantengan estables.

